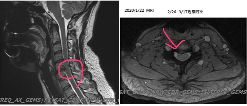
Cervical Spine Treatment Cases 頸椎治療案例 感謝新竹市羅小姐熱情見證 頸椎整合中醫微創療法逆轉勝 2020.03.18 感謝台北市👮♀️陳大哥熱情見證 困擾三年頸椎疼痛逆轉勝 騎機車手麻到無法煞車劇痛不... 2020.03.13 感謝台中市許大姐熱情見證 頸椎壓迫導致右臂酸麻痛五個月 脊椎整合中醫微創逆轉勝 2020.03.12 史上第一次碰到全聾啞人士聘用手語翻譯人員來診所接受脊椎整合中醫維創! 2020.02.22 #嚴重的頸椎反弓醫案 #疼痛超過半年左側肩膀麻痛連手臂 #感謝葉先生熱情見證 2020.02.22 #頸椎痛到無法睡覺怎麼回事 #神經根型頸椎病醫案 #感謝台北吳小姐熱情見證 #脊椎整合... 2020.02.13 #頸椎間盤突出痛到右手完全沒力 #神經根型頸椎病合併輕微脊髓壓迫 #原本考慮裝設人工... 2020.02.07 #脊髓型嚴重壓迫患者 #可能非針刀類型患者 2020.01.23 #頸椎壓迫醫案見證 #脊椎整合中醫微創療法原理說明 #感謝新竹余先生熱情見證 #什麼症... 2020.01.22 #頸椎壓迫神經根醫案 #疼痛超過三年以上 #來診前幾個月大痛到無法睡覺 #感謝新莊陳大... 2020.01.10 #感謝台大學長熱情見證頸椎針刀療法 #脊椎整合中醫微創療法 2019.12.17 #感謝宜蘭李大哥熱情見證 #神經根型頸椎病痛到上臂肩膀麻痛 #原本想說熱愛的衝浪可能... 2019.12.08 😂原本都準備要去開刀了! 😢醫學中心報價兩節椎間盤報價52萬 😄感謝苗栗患者熱情見證... 2019.11.22 ❇️頸椎間盤突出痛到完全無法洗頭 #核磁共振證實C4C5突出壓迫 #上樓梯頭往後面抬就誘發... 2019.11.13 #頸椎痛到無法睡覺怎麼回事 #原本認真考慮開刀治療 #感謝雲林患者熱情北上見證 #脊椎... 2019.10.21 ← 上一頁 6 7 8 9 10 下一頁 →