#感謝新竹薛大哥熱情見證 #頸椎整合中醫微創療法 治療:4/21~5/30(八次) 效果顯著,麻痛大幅度減輕。 逆。轉。勝。成。真。
2020.05.30
#感謝新竹薛大哥熱情見證
#頸椎整合中醫微創療法
治療:4/21~5/30(八次)
效果顯著,麻痛大幅度減輕。
逆。轉。勝。成。真。
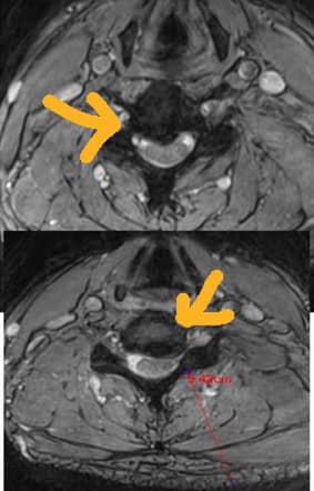
減壓治療+毛巾操。
♦️西醫神經外科手術適應症探討
先說結論!嚴重頸椎壓迫特別是中老年人,如果發現四肢已經開始僵硬或行動不良,很像失速列車裡面那種殭屍走路,如果是這種患者,強烈建議給神經外科手術!但至於是否會完全恢復呢?答案是很困難,頸部脊髓MRI如果嚴重壓迫病變,這表示頸脊髓發生不可逆之病變,這類患者症狀當然只有進步而無法完全復原,問題是很多中老年人很長期依賴止痛藥跟推拿,通常這種患者來診都已經很嚴重了,能夠恢復到免強日常生活自理都很不錯了
✅本文案例均已經過當事人同意刊登露出,並經患者同意拍攝照片影片上傳。
✅本文為案例資訊,僅作為推廣針刀醫學療法衛教資訊之介紹分享,治療效果會因個人體質與術後保養而有異。
✅徐國峰醫師提醒您,任何醫療處置均有潛在風險,並非每個人都適合,本文內容僅供參考,實際須由醫師當面與您進行評估及溝通而定。
🔵有相關問題請就近洽骨科、復健科、針刀、針灸醫師,及早發現及早治療
✅徐國峰中醫診所關心您(針刀專字第28號,台灣針刀醫學會創會專科醫師,兩岸雙專科針刀醫師執照。)
☎️諮詢電話:02-8772-5280
(自費預約高品質門診)
👍詳細脊椎整合療法請見粉絲團置頂文章喔
效果顯著,麻痛大幅度減輕。
逆。轉。勝。成。真。
減壓治療+毛巾操。
♦️西醫神經外科手術適應症探討
先說結論!嚴重頸椎壓迫特別是中老年人,如果發現四肢已經開始僵硬或行動不良,很像失速列車裡面那種殭屍走路,如果是這種患者,強烈建議給神經外科手術!但至於是否會完全恢復呢?答案是很困難,頸部脊髓MRI如果嚴重壓迫病變,這表示頸脊髓發生不可逆之病變,這類患者症狀當然只有進步而無法完全復原,問題是很多中老年人很長期依賴止痛藥跟推拿,通常這種患者來診都已經很嚴重了,能夠恢復到免強日常生活自理都很不錯了
✅本文案例均已經過當事人同意刊登露出,並經患者同意拍攝照片影片上傳。
✅本文為案例資訊,僅作為推廣針刀醫學療法衛教資訊之介紹分享,治療效果會因個人體質與術後保養而有異。
✅徐國峰醫師提醒您,任何醫療處置均有潛在風險,並非每個人都適合,本文內容僅供參考,實際須由醫師當面與您進行評估及溝通而定。
🔵有相關問題請就近洽骨科、復健科、針刀、針灸醫師,及早發現及早治療
✅徐國峰中醫診所關心您(針刀專字第28號,台灣針刀醫學會創會專科醫師,兩岸雙專科針刀醫師執照。)
☎️諮詢電話:02-8772-5280
(自費預約高品質門診)
👍詳細脊椎整合療法請見粉絲團置頂文章喔



