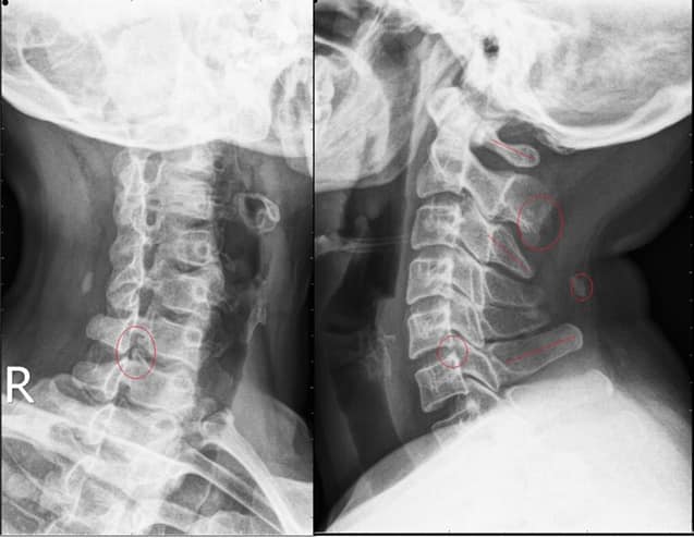
Cervical Spine Treatment Cases 頸椎治療案例 #疼痛三年頸椎病患者親手寫下治療紀錄 #交感神經型頸椎病 #症狀錯綜複雜 2020.10.02 #困擾四年多胸悶手麻頭暈醫案 #一切原因居然是頸椎出問題 #交感神經型頸椎病症狀錯綜... 2020.09.11 #交感神經型頸椎病引起的耳鳴 #耳鳴將近八個月終於得到重大改善 #曾經耳鳴到無法睡覺... 2020.08.22 #感謝板橋蘇先生熱情見證 #神經根型頸椎病卡壓 #曾痛痛到左手無法騎單車撥桿 #麻脹刺... 2020.08.04 #後縱韌帶鈣化引起椎管狹窄 #痛到完全無法睡覺長達半年以上 #原本已經準備開刀最後逆... 2020.07.16 #牽一頸而動全身的特殊醫案 #兩分鐘瞭解交感神經型頸椎病 #絕望的黑暗人生看到一絲希... 2020.07.03 #長達七年的頸椎疼痛是怎麼回事 #神經根型頸椎病 #低頭族跟家庭主婦辛苦了 #逆轉勝醫... 2020.07.01 #頸椎整合中醫微創療法 #感謝新竹黃大哥熱情見證 #逆轉勝成真醫案 2020.06.25 #頸椎病手術後也要要好好保健 #毛巾操很重要再度上場 #感謝某大醫學中心主任見證 2020.06.24 #這些症狀很可能都是頸椎出問題 #患者看七種不同科別醫師找不出原因 #交感神經型頸椎... 2020.06.09 #消失的頸椎曲線能夠回來嗎? #核磁共振前後對比椎管容積打開 #脊椎整合中醫微創療法❤... 2020.06.05 #感謝新竹薛大哥熱情見證 #頸椎整合中醫微創療法 治療:4/21~5/30(八次) 效果顯著... 2020.05.30 從宜蘭來的游小姐患者熱情見證 頸椎整合中醫微創療法 逆。轉。成。真。 2020.05.29 #脊髓型頸椎病案例 2020.05.26 #感謝新北市黃小姐熱情見證 #疼痛時間超過一年 #晨起麻痛到不行的日子長達半年以上 #... 2020.05.16 ← 上一頁 5 6 7 8 9 下一頁 →