#脊髓型頸椎病案例
2020.05.26
#脊髓型頸椎病案例
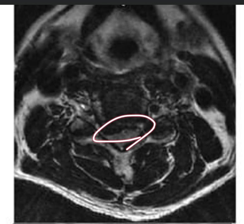
住在台北市的林伯伯,抱怨30幾年的頸椎痛,7年前復發,在台安醫院做MRI檢查,原本只是痠痛,來診前的一年已經嚴重麻跟刺痛,地區復健科診所做過針灸數個月,電療一年,熱療一年,拉脖子一年以上, 每天晚上固定疼痛超過一小時,最近發現對於冷熱水溫度感覺喪失才驚覺狀況不對,再拍一次MRI已經發現C4C5 脊髓病變。
診斷:C4C5中樞型脊髓型頸椎病
Cervical spondylotic myelopathy
評估:林伯伯雖然有脊髓壓迫,但是手腳還有力量,也沒大小便失禁,MRI也還沒嚴重脊髓變性跟水腫,所以決定嘗試跟林伯伯一起奮鬥治療,也明確告訴他壓迫到脊髓患者比較不好治療,如果治療兩週沒什麼特別進步,請他優先考慮大醫院接受頸椎人工椎間盤手術。
治療:4/8~5/26,總共治療十次,右手麻痛明顯減輕,改善超過九成!左手洗手可以比較感受到溫度差異,手握力增加。
後續觀察:左手拇指還沒有全部解除麻漲感,剩下約三成麻,囑咐休息一陣子,勤做毛巾操,觀察後再回診。
🏮脊髓壓迫病理:
中央後突的髓核、椎體後緣骨刺、黃韌帶增生肥厚、後縱韌帶鈣化等原因使脊髓受到壓迫。
🔎治療:
頸椎微針刀減壓
頸椎肩膀筋膜鬆解
黃韌帶周圍減張術
頭皮針、乾針、針灸、手針
♦️西醫神經外科手術適應症探討
先說結論!嚴重頸椎壓迫特別是中老年人,如果發現四肢已經開始僵硬或行動不良,很像失速列車裡面那種殭屍走路,如果是這種患者,強烈建議給神經外科手術!但至於是否會完全恢復呢?答案是很困難,頸部脊髓MRI如果嚴重壓迫病變,這表示頸脊髓發生不可逆之病變,這類患者症狀當然只有進步而無法完全復原,問題是很多中老年人很長期依賴止痛藥跟推拿,通常這種患者來診都已經很嚴重了,能夠恢復到免強日常生活自理都很不錯了
✅本文案例均已經過當事人同意刊登露出,並經患者同意拍攝照片影片上傳。
✅本文為案例資訊,僅作為推廣針刀醫學療法衛教資訊之介紹分享,治療效果會因個人體質與術後保養而有異。
✅徐國峰醫師提醒您,任何醫療處置均有潛在風險,並非每個人都適合,本文內容僅供參考,實際須由醫師當面與您進行評估及溝通而定。
🔵有相關問題請就近洽骨科、復健科、針刀、針灸醫師,及早發現及早治療
✅徐國峰中醫診所關心您(針刀專字第28號,台灣針刀醫學會創會專科醫師,兩岸雙專科針刀醫師執照。)
☎️諮詢電話:02-8772-5280
(自費預約高品質門診)
👍詳細脊椎整合療法請見粉絲團置頂文章喔
診斷:C4C5中樞型脊髓型頸椎病
Cervical spondylotic myelopathy
評估:林伯伯雖然有脊髓壓迫,但是手腳還有力量,也沒大小便失禁,MRI也還沒嚴重脊髓變性跟水腫,所以決定嘗試跟林伯伯一起奮鬥治療,也明確告訴他壓迫到脊髓患者比較不好治療,如果治療兩週沒什麼特別進步,請他優先考慮大醫院接受頸椎人工椎間盤手術。
治療:4/8~5/26,總共治療十次,右手麻痛明顯減輕,改善超過九成!左手洗手可以比較感受到溫度差異,手握力增加。
後續觀察:左手拇指還沒有全部解除麻漲感,剩下約三成麻,囑咐休息一陣子,勤做毛巾操,觀察後再回診。
🏮脊髓壓迫病理:
中央後突的髓核、椎體後緣骨刺、黃韌帶增生肥厚、後縱韌帶鈣化等原因使脊髓受到壓迫。
🔎治療:
頸椎微針刀減壓
頸椎肩膀筋膜鬆解
黃韌帶周圍減張術
頭皮針、乾針、針灸、手針
♦️西醫神經外科手術適應症探討
先說結論!嚴重頸椎壓迫特別是中老年人,如果發現四肢已經開始僵硬或行動不良,很像失速列車裡面那種殭屍走路,如果是這種患者,強烈建議給神經外科手術!但至於是否會完全恢復呢?答案是很困難,頸部脊髓MRI如果嚴重壓迫病變,這表示頸脊髓發生不可逆之病變,這類患者症狀當然只有進步而無法完全復原,問題是很多中老年人很長期依賴止痛藥跟推拿,通常這種患者來診都已經很嚴重了,能夠恢復到免強日常生活自理都很不錯了
✅本文案例均已經過當事人同意刊登露出,並經患者同意拍攝照片影片上傳。
✅本文為案例資訊,僅作為推廣針刀醫學療法衛教資訊之介紹分享,治療效果會因個人體質與術後保養而有異。
✅徐國峰醫師提醒您,任何醫療處置均有潛在風險,並非每個人都適合,本文內容僅供參考,實際須由醫師當面與您進行評估及溝通而定。
🔵有相關問題請就近洽骨科、復健科、針刀、針灸醫師,及早發現及早治療
✅徐國峰中醫診所關心您(針刀專字第28號,台灣針刀醫學會創會專科醫師,兩岸雙專科針刀醫師執照。)
☎️諮詢電話:02-8772-5280
(自費預約高品質門診)
👍詳細脊椎整合療法請見粉絲團置頂文章喔

