#頸椎病手術後也要要好好保健 #毛巾操很重要再度上場 #感謝某大醫學中心主任見證
2020.06.24
#頸椎病手術後也要要好好保健
#毛巾操很重要再度上場
#感謝某大醫學中心主任見證
A先生,年紀五十出頭,某大醫院外科系主任醫師,三年前鐵人三項運動意外傷害,當年在台北某大醫院接受頸椎人工椎間盤手術,因為工作手術需要常常低頭,這幾個月又開始出現左上臂跟頸椎疼痛,性質痠痛腫脹痛,傳統電療跟熱療都做過好幾回合,也做過五次震波,也打過4次PRP高濃度血小板生長因子,也做了快10次高濃度葡萄糖注射,以上治療都有些許效果,但還是無重大改善,疼痛量表疼痛指數約五分,因為不想再動第二次刀,嘗試中西醫結合超微創療法
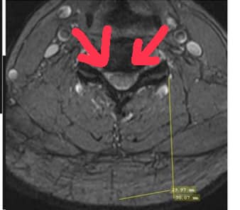
診斷:
✅MRI cervical radiculopathy
C4/C5;C5/C6左側神經根卡壓
✅thoracic outlet syndrome (胸廓出口症候群)
✅頸椎小關節面紊亂
疾病探討:頸神經根病變最常見的原因是頸椎間盤突出和頸部關節黏連(spondylosis)最有關!
不論是壓迫或發炎反應都會引起頸
神經根病變。而不論是機械性或化學性的外來傷害,由於神經根的彈性會比周邊神經差,所以神經根修復的情形自然也較差。頸椎間盤突出引發的發炎反應,會加重頸神經根的壓迫;動物研究顯示,即使在解壓的情況下,神經根仍會持續發炎。這也解釋了部分頸椎間盤突出的病人,為何會在接受過減壓手術後,症狀仍無法緩解的原因。
頸椎關 節 粘 連 是一個很重要的問題,因為頸椎退 化 性 關 節 變 化會造成韌帶變厚、韌帶過度骨化(纖維化)、椎間盤退化和頸椎小關節病變,最後這一切會造成椎間孔狹窄,進而造成神經根的壓迫。
治療:利用超微創療法治療TOS (胸廓出口症)和HIVD (椎間盤突出) 相關筋結點與高壓力點
毛巾操運動:這點非常重要,因為如果不保養脊椎會繼續變型!到時就可能要在做兩節人工椎間盤!
要求患者一天做六組,一組十分鐘,平均可以做到600下頸椎復位運動
結果:109/5/16~6/24 總共治療十次改善超過七到八成,頸椎痠痛感大為減少,之前工作到下午就開始明顯脹痛,治療前幾次就很有感覺。
✅本文案例均已經過當事人同意刊登露出,並經患者同意拍攝照片影片上傳。
✅本文為案例資訊,僅作為推廣針刀醫學療法衛教資訊之介紹分享,治療效果會因個人體質與術後保養而有異。
✅徐國峰醫師提醒您,任何醫療處置均有潛在風險,並非每個人都適合,本文內容僅供參考,實際須由醫師當面與您進行評估及溝通而定。
🔵有相關問題請就近洽骨科、復健科、針刀、針灸醫師,及早發現及早治療
✅徐國峰中醫診所關心您(針刀專字第28號,台灣針刀醫學會創會專科醫師,兩岸雙專科針刀醫師執照。)
☎️諮詢電話:02-8772-5280
(自費預約高品質門診)
👍詳細脊椎整合療法請見粉絲團置頂文章喔
診斷:
✅MRI cervical radiculopathy
C4/C5;C5/C6左側神經根卡壓
✅thoracic outlet syndrome (胸廓出口症候群)
✅頸椎小關節面紊亂
疾病探討:頸神經根病變最常見的原因是頸椎間盤突出和頸部關節黏連(spondylosis)最有關!
不論是壓迫或發炎反應都會引起頸
神經根病變。而不論是機械性或化學性的外來傷害,由於神經根的彈性會比周邊神經差,所以神經根修復的情形自然也較差。頸椎間盤突出引發的發炎反應,會加重頸神經根的壓迫;動物研究顯示,即使在解壓的情況下,神經根仍會持續發炎。這也解釋了部分頸椎間盤突出的病人,為何會在接受過減壓手術後,症狀仍無法緩解的原因。
頸椎關 節 粘 連 是一個很重要的問題,因為頸椎退 化 性 關 節 變 化會造成韌帶變厚、韌帶過度骨化(纖維化)、椎間盤退化和頸椎小關節病變,最後這一切會造成椎間孔狹窄,進而造成神經根的壓迫。
治療:利用超微創療法治療TOS (胸廓出口症)和HIVD (椎間盤突出) 相關筋結點與高壓力點
毛巾操運動:這點非常重要,因為如果不保養脊椎會繼續變型!到時就可能要在做兩節人工椎間盤!
要求患者一天做六組,一組十分鐘,平均可以做到600下頸椎復位運動
結果:109/5/16~6/24 總共治療十次改善超過七到八成,頸椎痠痛感大為減少,之前工作到下午就開始明顯脹痛,治療前幾次就很有感覺。
✅本文案例均已經過當事人同意刊登露出,並經患者同意拍攝照片影片上傳。
✅本文為案例資訊,僅作為推廣針刀醫學療法衛教資訊之介紹分享,治療效果會因個人體質與術後保養而有異。
✅徐國峰醫師提醒您,任何醫療處置均有潛在風險,並非每個人都適合,本文內容僅供參考,實際須由醫師當面與您進行評估及溝通而定。
🔵有相關問題請就近洽骨科、復健科、針刀、針灸醫師,及早發現及早治療
✅徐國峰中醫診所關心您(針刀專字第28號,台灣針刀醫學會創會專科醫師,兩岸雙專科針刀醫師執照。)
☎️諮詢電話:02-8772-5280
(自費預約高品質門診)
👍詳細脊椎整合療法請見粉絲團置頂文章喔



