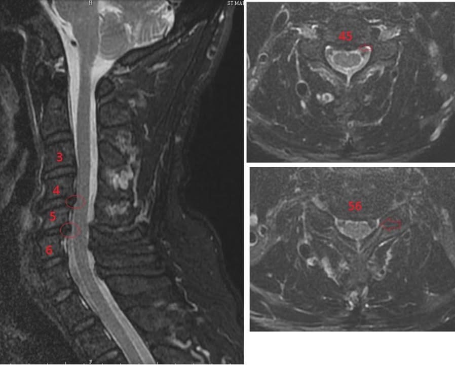
Cervical Spine Treatment Cases 頸椎治療案例 頸椎過直會導致肩膀酸痛嗎?中醫微創針刀療法成功改善頸椎弧度 2021.11.03 頸椎骨刺導致步態不穩、半身麻痛,一定要開刀嗎?中醫針刀治療100天改善實例公開 2021.10.07 冷水刺痛全身、下肢異常竟源自頸椎壓迫?MRI對比揭示非手術療法改善實證 2021.10.08 伏地挺身突然做不到?竟是C6C7頸椎壓迫導致神經肌力減退!中醫微創療法10週改善 2021.09.11 低頭族小心!頸椎滑脫竟導致長期頭痛肩痛與睡眠障礙|12次中醫微創治療成功矯正滑脫 2021.07.16 醫案實證:術後再發的脊髓壓迫症也能靠中醫療法改善 2021.07.10 手術後腳還是麻?頸椎開刀半年症狀未解,靠中醫微創8次改善右腳無力與手麻! 2021.06.30 狂送急診四次竟查不出病因!胸悶心悸原來是頸椎壓迫,靠針刀微創13次改善 2021.06.09 後縱韌帶鈣化壓迫脊髓!步態不穩、手腳麻木竟可逆轉?14週22次針刀治療真實見證 2021.05.06 什麼是中樞型脊髓型頸椎病?症狀、診斷與治療全解析 2021.05.28 神經根型頸椎病症狀解析:肩麻、手痛與肌肉萎縮 2021.04.16 嚴重心悸胸悶竟是頸椎問題!交感神經型頸椎病針治2次症狀明顯改善|真實病例與患者疼... 2021.04.07 從心悸胸悶到手麻夜痛難眠,她竟是頸椎壓迫!真實MRI對比見證中醫逆轉勝療效 2021.04.04 從手腳無力到步態不穩,他竟是頸椎脊髓型壓迫!三個月密集針刀療法逆轉勝|台北蔡大哥... 2021.03.31 頸椎椎間盤突出要一次動四節嗎?手術vs.保守治療完整解析 2021.03.27 ← 上一頁 2 3 4 5 6 下一頁 →