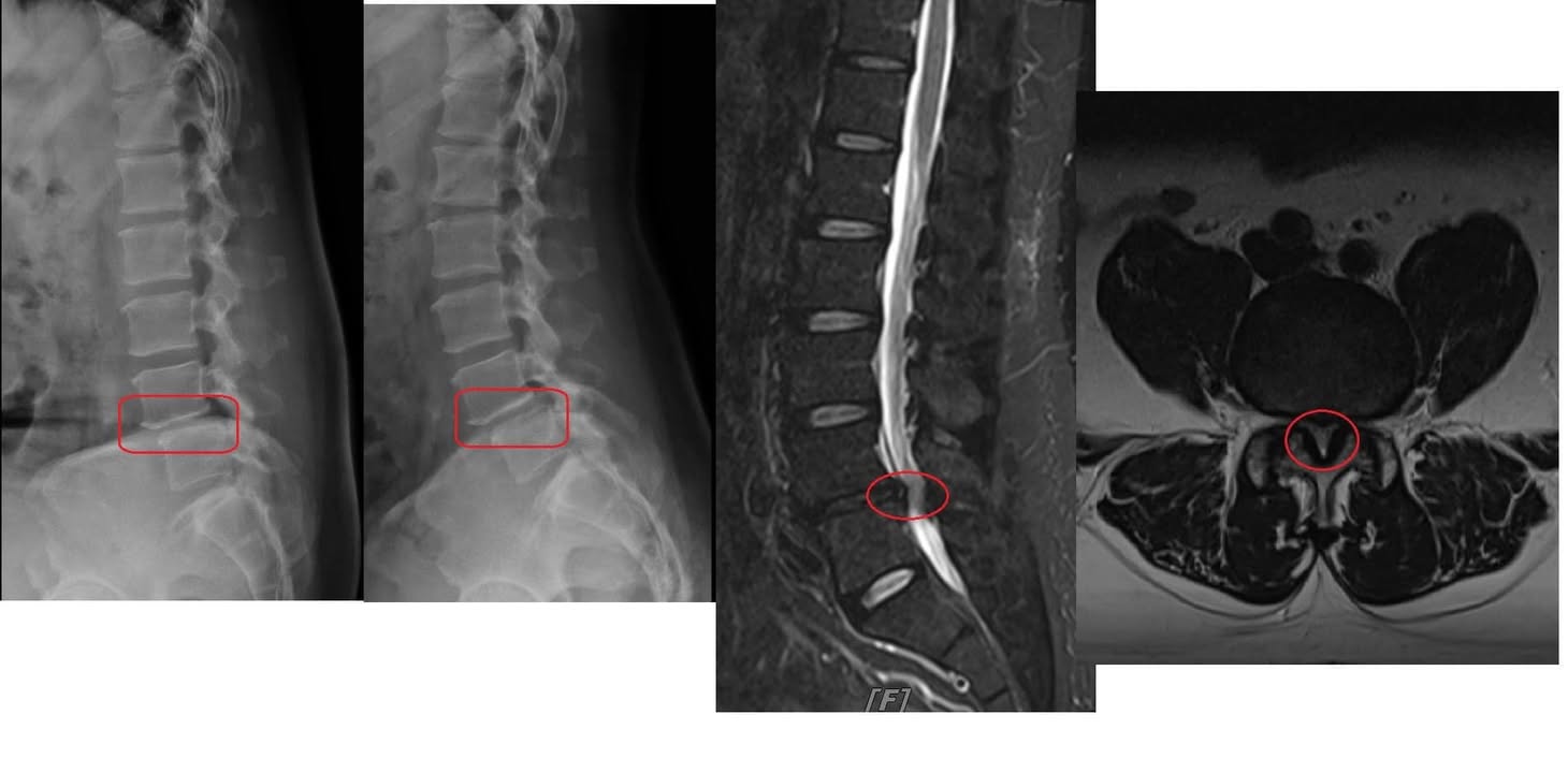
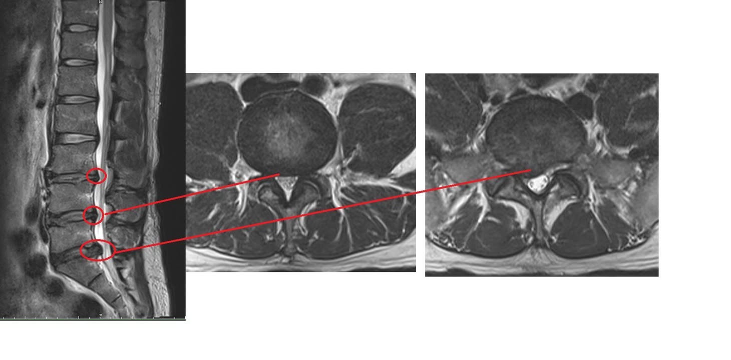
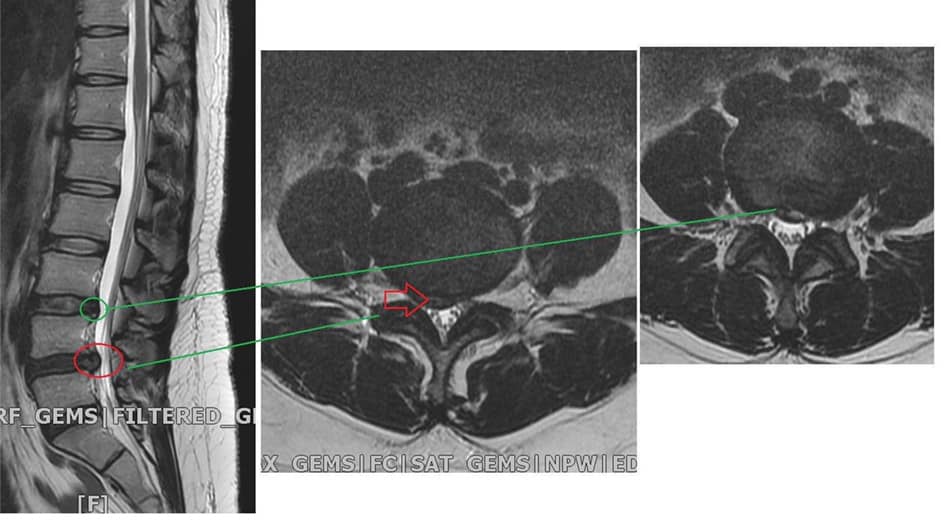
Cervical Spine Treatment Cases 腰椎治療案例 #今天來聊巨大骨刺為何可以吸收回去! #椎間盤突出需要多久才能吸收呢? #馬尾神經症候... 2020.09.08 #典型假性坐骨神經痛 #原來是梨狀肌症候群 #核磁共振排除椎間盤突出 #抽絲剝繭真相大... 2020.08.13 #嚴重椎管狹窄醫案 #感謝台北林大哥熱情見證 #從寸步難行到輕快漫步 #鍛鍊多裂肌的重... 2020.08.12 #椎間盤突出可以吸收回去嗎 #微針治療原理是什麼 #何時一定要接受神外開刀 #一張圖秒... 2020.08.11 #感謝花蓮鄉親林大姐熱情見證 #一分鐘認識椎管狹窄 #原本痛到無法走路打算開刀了 #脊... 2020.08.01 #感謝新莊區林先生熱情見證 #椎間盤突出跟纖維環裂隙的關係 #纖維環破裂突出可以不... 2020.07.28 #逆轉勝又一發case #原本疼痛一年多想說一定要手術治療了 #八週治療後症狀全部消失 #... 2020.07.25 #巨大椎間盤突出一定要開刀嗎 #除了開刀以外的選擇 #感謝台北市吳先生熱情見證 2020.07.24 #腰椎滑脫的疼痛心酸誰人知啊 #一分鐘瞭解腰椎滑脫 #哪一種情況需要積極開刀 #要如何... 2020.07.21 #巨大椎間盤脫垂一定要開刀嗎? #感謝新店林先生熱情見證受訪 #西醫手術有那些選擇... 2020.07.02 #纖維環裂隙AnnularFssures #MRI看起來不嚴重卻嚴重困擾患者 #感謝桃園市蕭先生熱情見... 2020.06.19 #骨刺有可能吸收回去嗎?? #疼痛超過六年的特殊案例探討 #MRI核磁共振前後對比 #感謝... 2020.06.14 #坐骨神經痛一定要開刀嗎 #突出的骨刺真的可以自己吸收嗎 #最新英國醫學期刊BMJ的看... 2020.05.30 #骨刺跟突出髓核有可能吸收回去嗎?? #特殊案例探討 #核磁共振一年後對比 2020.05.29 #從醫以來第一次碰到薦椎Tarlov cyst囊腫#左邊紅色圈圈是個案,右邊是國外案例#腰... 2020.05.23 ← 上一頁 10 11 12 13 14 下一頁 →