#騎馬摔傷腰椎醫案 #感謝內湖陳先生熱情見證 #椎間盤突出合併輕微椎間孔狹窄 #重新騎馬飛越障礙就是讚👍👍👍 #脊椎整合中醫微創逆轉勝 #治療結束後重新騎🐎🐎🐎
2021.02.03
#騎馬摔傷腰椎醫案
#感謝內湖陳先生熱情見證
#椎間盤突出合併輕微椎間孔狹窄
#重新騎馬飛越障礙就是讚
#脊椎整合中醫微創逆轉勝
#治療結束後重新騎
內湖陳先生抱怨1年前騎馬滾下來撞擊尾椎,左側腰開始長期疼痛,在當地骨科診所做過電療、熱療半年以上,稍微舒緩,但一直沒有太大起色,抱怨晨起最痛、開車超過半小時就開始抽痛,往前彎腰痛比較痠、打噴嚏也會痛 ,伴隨屁股跟腳麻痛,看過CT跟做一些理學檢查之後給了下面診斷。
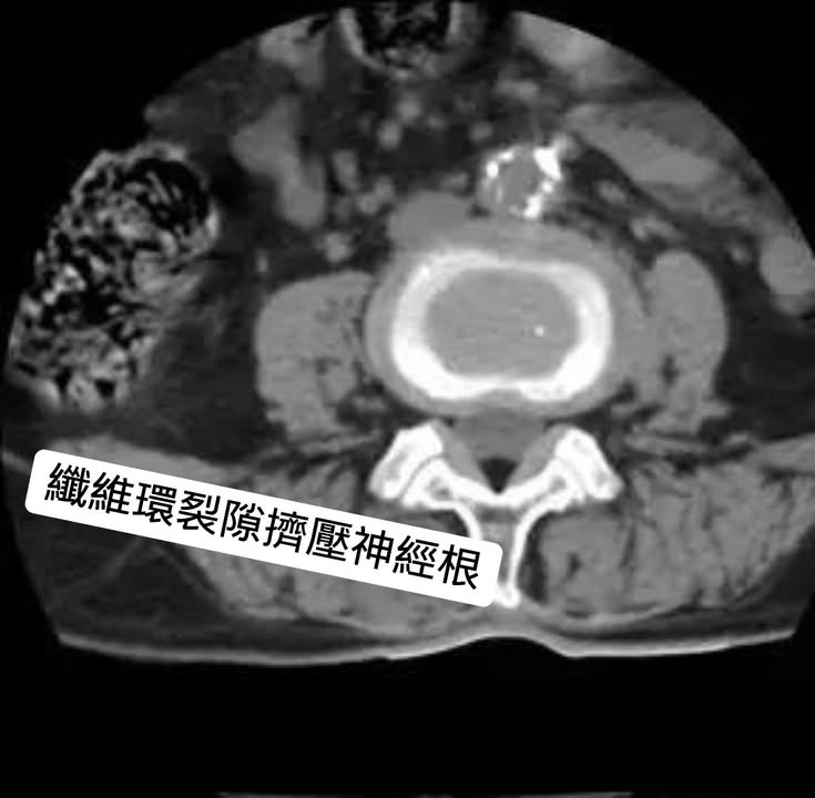
⭐️首先先說下椎間盤的結構,椎間盤位於兩個椎體之間用於承重和鏈接,主要有裡面的髓核和外面纖維環組成。這就是一個正常的腰椎間盤CT,可以看到椎間盤沒有變扁向周圍膨出或突出
⭐️ 當受到外力壓迫的時候,椎間盤就會變扁,這時髓核還在纖維環裡面,就好比一個豆沙包被壓扁了,豆沙餡還在包子里,椎間盤變扁就會向周圍膨出,壓迫後面的硬膜囊和後緣兩側的神經根,就會造成腰腿疼痛,感覺異常、麻木等,下面這個就是一個膨出的患者的CT表現。膨出一般可以休息、理療自行緩解。
⭕️診斷:
1.L4L5;L5S1輕微椎椎間盤突出->中間偏左
2.慢性筋膜發炎疼痛
3.纖維環輕微裂開
❇️術前溝通:片子上看起來突出不嚴重也沒脫垂,患者也沒有大小便失禁的症狀,也沒有大小便疼痛,也沒有垂足跟腳萎縮情況,估計脊髓沒損傷,只是突出的椎間盤壓迫神經根導致,安排三週治療看效果如何,如果有改善就繼續治療,如果還是麻痛到不行就建議開刀
🟥治療:
1.腰椎筋膜鬆動術
2.黃韌帶鬆解術
3.小面關節減張術
4.椎管側隱窩減壓術
5.傳統針灸提高氣血循環
6.麥氏運動物理治療
🈵結果:前面的三週治療就改善快一半,陳大哥非常開心,就有信心地把這個療程做完,11/12號到最後一次治療1月29,共治療13次,總共十週的治療 效果非常滿意!
從一開始的晨起痠痛到爆炸!到現在已經可以正常起騎馬🐎🐎🐎!我們團隊非常真心的替陳大哥感到開心,也超級感動😹
✅本文案例均已經過當事人同意刊登露出,並經患者同意拍攝照片影片上傳。
✅本文為案例資訊,僅作為推廣針刀醫學療法衛教資訊之介紹分享,治療效果會因個人體質與術後保養而有異。
✅徐國峰醫師提醒您,任何醫療處置均有潛在風險,並非每個人都適合,本文內容僅供參考,實際須由醫師當面與您進行評估及溝通而定。
🔵有相關問題請就近洽骨科、復健科、針刀、針灸醫師,及早發現及早治療
✅徐國峰中醫診所關心您(針刀專字第28號,台灣針刀醫學會創會專科醫師,兩岸雙專科針刀醫師執照。)
☎️諮詢電話:02-8772-5280
(自費預約高品質門診)
⭕️如有看診需求跟常見問題請參考置頂文章,或直接來電診所👆。
⭐️首先先說下椎間盤的結構,椎間盤位於兩個椎體之間用於承重和鏈接,主要有裡面的髓核和外面纖維環組成。這就是一個正常的腰椎間盤CT,可以看到椎間盤沒有變扁向周圍膨出或突出
⭐️ 當受到外力壓迫的時候,椎間盤就會變扁,這時髓核還在纖維環裡面,就好比一個豆沙包被壓扁了,豆沙餡還在包子里,椎間盤變扁就會向周圍膨出,壓迫後面的硬膜囊和後緣兩側的神經根,就會造成腰腿疼痛,感覺異常、麻木等,下面這個就是一個膨出的患者的CT表現。膨出一般可以休息、理療自行緩解。
⭕️診斷:
1.L4L5;L5S1輕微椎椎間盤突出->中間偏左
2.慢性筋膜發炎疼痛
3.纖維環輕微裂開
❇️術前溝通:片子上看起來突出不嚴重也沒脫垂,患者也沒有大小便失禁的症狀,也沒有大小便疼痛,也沒有垂足跟腳萎縮情況,估計脊髓沒損傷,只是突出的椎間盤壓迫神經根導致,安排三週治療看效果如何,如果有改善就繼續治療,如果還是麻痛到不行就建議開刀
🟥治療:
1.腰椎筋膜鬆動術
2.黃韌帶鬆解術
3.小面關節減張術
4.椎管側隱窩減壓術
5.傳統針灸提高氣血循環
6.麥氏運動物理治療
🈵結果:前面的三週治療就改善快一半,陳大哥非常開心,就有信心地把這個療程做完,11/12號到最後一次治療1月29,共治療13次,總共十週的治療 效果非常滿意!
從一開始的晨起痠痛到爆炸!到現在已經可以正常起騎馬🐎🐎🐎!我們團隊非常真心的替陳大哥感到開心,也超級感動😹
✅本文案例均已經過當事人同意刊登露出,並經患者同意拍攝照片影片上傳。
✅本文為案例資訊,僅作為推廣針刀醫學療法衛教資訊之介紹分享,治療效果會因個人體質與術後保養而有異。
✅徐國峰醫師提醒您,任何醫療處置均有潛在風險,並非每個人都適合,本文內容僅供參考,實際須由醫師當面與您進行評估及溝通而定。
🔵有相關問題請就近洽骨科、復健科、針刀、針灸醫師,及早發現及早治療
✅徐國峰中醫診所關心您(針刀專字第28號,台灣針刀醫學會創會專科醫師,兩岸雙專科針刀醫師執照。)
☎️諮詢電話:02-8772-5280
(自費預約高品質門診)
⭕️如有看診需求跟常見問題請參考置頂文章,或直接來電診所👆。



