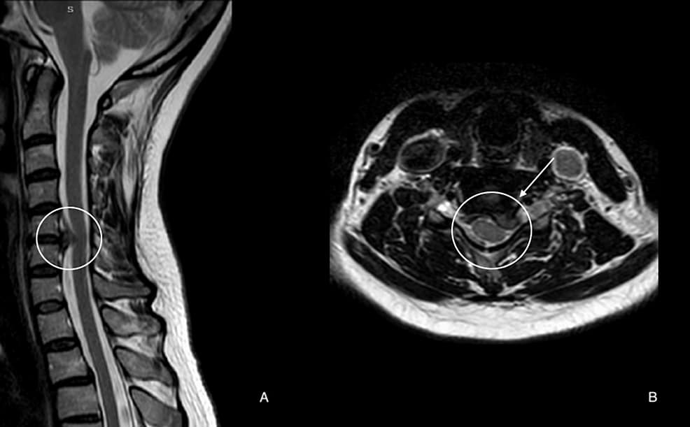
Cervical Spine Treatment Cases 精彩回顧 無心插柳柳成蔭 2024.04.20 2024.04.21 2024.04.27 2024.04.28 突出合併梨狀肌症候群 2024.05.03 骨刺磨除術後沾黏 2024.05.07 微創針刀技術下的奇蹟康復 2024.05.08 垂足導致左腳全麻無知覺 2024.05.09 2024.05.10 2024.05.15 2024.05.16 2024.05.16 2024.05.17 2024.05.18 2024.05.29 ← 上一頁 19 20 21 22 23 下一頁 →