嚴重心悸伴隨視力模糊跟血壓飆升
2025.02.07
#嚴重心悸伴隨視力模糊跟血壓飆升
#原來這一切都是頸椎出問題
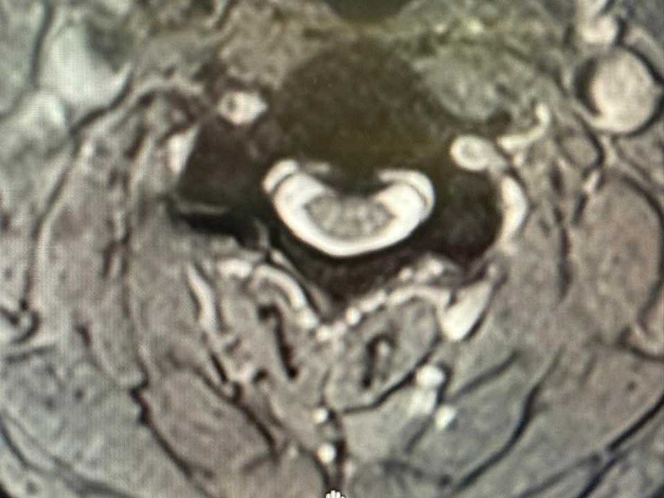
#核磁共振證實後縱韌帶鈣化
#交感神經型頸椎病
#台中沙鹿陳大哥的頸椎重生之旅
#何時一定要進行神經外科手術最後一行告訴你
民國111年11月15日,台北的秋日微涼,細雨紛飛,秋風送爽。
診間的門被輕輕推開,一位中年男子走進來,他的臉色略顯蒼白,步履間帶著些許不安。他是陳大哥,來自台中沙鹿,已經被折磨了一整年。
「徐醫師,我真的不知道該怎麼辦了……」他長長地嘆了口氣,語氣裡藏著無奈與疲憊。
他開始向我訴說他的故事。
一年來的折磨:心悸、麻痛、無法入眠
一年前的十月二號那天,他正在家中休息,突然心臟像脫韁的野馬般狂跳不止,呼吸急促,胸口悶得發慌,雙手雙腳像失去知覺般開始發麻。當時他驚慌失措,以為自己心臟出了問題,立刻被送往醫院。
急診醫師為他做了心電圖、超音波,甚至還做了24小時動態心電圖,但心臟並沒有異常。然而,他的血壓卻異常飆升,甚至一度超過 180/110。醫生給了降壓藥,卻無法真正解決問題。
後來,他輾轉到台中中國醫藥學院,接受完整的神經學檢查,最後安排了頸椎核磁共振。這次,答案終於浮出水面——頸椎後縱韌帶鈣化症(OPLL),病變範圍從 C2 到 C4,壓迫了他的神經,甚至影響了交感神經。
「可是徐醫師,這種問題,怎麼會讓我心悸、血壓飆升呢?」他疑惑地問。
我點點頭,這是一種少見但極容易被忽略的頸椎病變,它的名稱叫做——交感神經型頸椎病。
⭕️交感神經型頸椎病:當心悸的元兇藏在頸椎
交感神經是一個無聲的操控者,它控制著我們的心跳、血壓、血管收縮、瞳孔大小,甚至影響身體的代謝與出汗。當頸椎的後縱韌帶鈣化,壓迫到頸椎旁的交感神經鏈,就可能引發自主神經功能紊亂。
這種壓迫,會讓大腦錯誤地以為身體處於極端壓力或危險狀態,因此交感神經會過度興奮,導致:
• 突發性心悸
• 血壓異常升高
• 胸悶、呼吸急促
• 視力模糊,甚至暫時性黑矇
• 手腳發麻、發冷,甚至像被電流竄過
• 夜間失眠,總感覺心跳在耳邊跳動
這些症狀,往往讓人誤以為自己得了心臟病,但事實上,心臟並沒有問題,真正的元兇就在頸椎。
「所以陳大哥,你的問題,不是心臟出了問題,而是你的頸椎正在欺騙你的身體,讓交感神經以為你正處於極度壓力之下。」
聽完這段話,他沉默了一會,然後喃喃道:「原來……這一切的折磨,都來自頸椎啊……」
🛑治療計劃:解放被囚禁的神經
我為他規劃了一個六週治療、一週兩次的療程,主要目標是:
1. 放鬆後縱韌帶的壓迫,釋放頸椎周圍的交感神經。
2. 恢復局部血流循環,減少腦部缺血,改善視力模糊與頭暈。
3. 減少交感神經過度興奮,讓血壓、心跳恢復穩定。
這不只是治療,而是一場讓交感神經重獲自由的旅程。
1️⃣第一周治療(11/15):針刀的第一步,鬆開頸椎的枷鎖
針刀輕輕劃過後縱韌帶的緊張點,像是為囚禁的神經鬆開了一道鎖鏈。治療後,他站起來動了動脖子:「肩膀變輕了,但麻痛還在……」這是正常的,壓迫解除後,神經需要時間恢復,但這已經是一個好的開始。
2️⃣第二周次治療(11/22):心悸的頻率降低了
「徐醫師,我這兩週心悸的頻率少很多,晚上終於可以睡著了!」
這次治療,我針對C3-C4的交感神經節做更細緻的針刀釋放,讓它不再受到筋膜的過度拉扯。
「這樣的感覺,真的太久違了……」他輕輕嘆了一口氣,露出難得的笑容。
3️⃣第三周治療(12/2):視線開始變清晰
「醫師,我的視力模糊,真的變好多了!」
這是交感神經壓力減少的直接反應。當血管放鬆、供血恢復正常,眼睛的調節能力也開始回來了。
「你現在開始覺得世界變清晰了,對吧?」
他點點頭,這不只是眼睛的清晰,也是身體的輕盈。
6️⃣第六週治療(12/28):徹底擺脫一年來的折磨
這一天,是最後一次治療。他輕鬆地走進來,與第一次見面時判若兩人。
「徐醫師,我的手腳完全不麻了,心悸沒有了,血壓也正常了,我真的……重生了!」
他滿懷感激地握住我的手:「謝謝你,讓我不用再過那種痛苦的日子。」
🛑 後縱韌帶鈣化(Ossification of the Posterior Longitudinal Ligament, OPLL)是一種慢性退化性疾病,其發生與頸椎長期過度負荷、慢性發炎、代謝異常及遺傳因素有關。
💠何時一定要神外手術治療(適用於嚴重壓迫患者)
適用對象:
✔ 症狀嚴重(如明顯的四肢無力、走路不穩、大小便異常)。
✔ 脊髓受壓明顯,且保守治療無效。
✔ 進行性惡化,如症狀持續加重,影響日常生活。
診間的門被輕輕推開,一位中年男子走進來,他的臉色略顯蒼白,步履間帶著些許不安。他是陳大哥,來自台中沙鹿,已經被折磨了一整年。
「徐醫師,我真的不知道該怎麼辦了……」他長長地嘆了口氣,語氣裡藏著無奈與疲憊。
他開始向我訴說他的故事。
一年來的折磨:心悸、麻痛、無法入眠
一年前的十月二號那天,他正在家中休息,突然心臟像脫韁的野馬般狂跳不止,呼吸急促,胸口悶得發慌,雙手雙腳像失去知覺般開始發麻。當時他驚慌失措,以為自己心臟出了問題,立刻被送往醫院。
急診醫師為他做了心電圖、超音波,甚至還做了24小時動態心電圖,但心臟並沒有異常。然而,他的血壓卻異常飆升,甚至一度超過 180/110。醫生給了降壓藥,卻無法真正解決問題。
後來,他輾轉到台中中國醫藥學院,接受完整的神經學檢查,最後安排了頸椎核磁共振。這次,答案終於浮出水面——頸椎後縱韌帶鈣化症(OPLL),病變範圍從 C2 到 C4,壓迫了他的神經,甚至影響了交感神經。
「可是徐醫師,這種問題,怎麼會讓我心悸、血壓飆升呢?」他疑惑地問。
我點點頭,這是一種少見但極容易被忽略的頸椎病變,它的名稱叫做——交感神經型頸椎病。
⭕️交感神經型頸椎病:當心悸的元兇藏在頸椎
交感神經是一個無聲的操控者,它控制著我們的心跳、血壓、血管收縮、瞳孔大小,甚至影響身體的代謝與出汗。當頸椎的後縱韌帶鈣化,壓迫到頸椎旁的交感神經鏈,就可能引發自主神經功能紊亂。
這種壓迫,會讓大腦錯誤地以為身體處於極端壓力或危險狀態,因此交感神經會過度興奮,導致:
• 突發性心悸
• 血壓異常升高
• 胸悶、呼吸急促
• 視力模糊,甚至暫時性黑矇
• 手腳發麻、發冷,甚至像被電流竄過
• 夜間失眠,總感覺心跳在耳邊跳動
這些症狀,往往讓人誤以為自己得了心臟病,但事實上,心臟並沒有問題,真正的元兇就在頸椎。
「所以陳大哥,你的問題,不是心臟出了問題,而是你的頸椎正在欺騙你的身體,讓交感神經以為你正處於極度壓力之下。」
聽完這段話,他沉默了一會,然後喃喃道:「原來……這一切的折磨,都來自頸椎啊……」
🛑治療計劃:解放被囚禁的神經
我為他規劃了一個六週治療、一週兩次的療程,主要目標是:
1. 放鬆後縱韌帶的壓迫,釋放頸椎周圍的交感神經。
2. 恢復局部血流循環,減少腦部缺血,改善視力模糊與頭暈。
3. 減少交感神經過度興奮,讓血壓、心跳恢復穩定。
這不只是治療,而是一場讓交感神經重獲自由的旅程。
1️⃣第一周治療(11/15):針刀的第一步,鬆開頸椎的枷鎖
針刀輕輕劃過後縱韌帶的緊張點,像是為囚禁的神經鬆開了一道鎖鏈。治療後,他站起來動了動脖子:「肩膀變輕了,但麻痛還在……」這是正常的,壓迫解除後,神經需要時間恢復,但這已經是一個好的開始。
2️⃣第二周次治療(11/22):心悸的頻率降低了
「徐醫師,我這兩週心悸的頻率少很多,晚上終於可以睡著了!」
這次治療,我針對C3-C4的交感神經節做更細緻的針刀釋放,讓它不再受到筋膜的過度拉扯。
「這樣的感覺,真的太久違了……」他輕輕嘆了一口氣,露出難得的笑容。
3️⃣第三周治療(12/2):視線開始變清晰
「醫師,我的視力模糊,真的變好多了!」
這是交感神經壓力減少的直接反應。當血管放鬆、供血恢復正常,眼睛的調節能力也開始回來了。
「你現在開始覺得世界變清晰了,對吧?」
他點點頭,這不只是眼睛的清晰,也是身體的輕盈。
6️⃣第六週治療(12/28):徹底擺脫一年來的折磨
這一天,是最後一次治療。他輕鬆地走進來,與第一次見面時判若兩人。
「徐醫師,我的手腳完全不麻了,心悸沒有了,血壓也正常了,我真的……重生了!」
他滿懷感激地握住我的手:「謝謝你,讓我不用再過那種痛苦的日子。」
🛑 後縱韌帶鈣化(Ossification of the Posterior Longitudinal Ligament, OPLL)是一種慢性退化性疾病,其發生與頸椎長期過度負荷、慢性發炎、代謝異常及遺傳因素有關。
💠何時一定要神外手術治療(適用於嚴重壓迫患者)
適用對象:
✔ 症狀嚴重(如明顯的四肢無力、走路不穩、大小便異常)。
✔ 脊髓受壓明顯,且保守治療無效。
✔ 進行性惡化,如症狀持續加重,影響日常生活。


