#感謝台北士林區詹先生熱情見證 #頸椎車禍受傷導致左手麻痺無力 #復健一整年還是有三成還沒痊癒 #神外建議如果復健沒效就開刀吧 #頸椎整合中醫微創療法逆轉勝
2020.04.30
#感謝台北士林區詹先生熱情見證
#頸椎車禍受傷導致左手麻痺無力
#復健一整年還是有三成還沒痊癒
#神外建議如果復健沒效就開刀吧
#頸椎整合中醫微創療法逆轉勝
#見證影片請看影片集
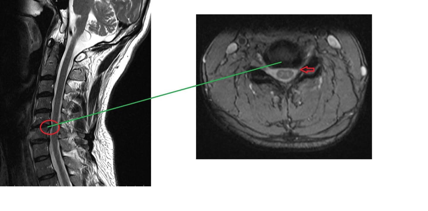
台北士林區詹先生抱怨1年前車禍受傷,先在中醫診所針灸三個月,又在新光醫院做整整1年的電療跟熱療,剛事故痛到手麻又沒力,才又去拍攝核磁共振,神外醫師看完片子建議開刀,由於患者畏懼開刀,就展開長達一年的中西醫復健,大約改善七成,但是每次平躺縮下巴頭旋轉就會強烈誘發左邊上臂痛,甚至手麻,就只剩這點一直沒改善⋯⋯⋯⋯⋯⋯
🆘診斷:神經根型頸椎病C5~C6
⭕️評估:患者手臂跟肩膀沒萎縮,肌力目前都正常,握力也沒問題,腳走路還沒問題,也沒有步態不穩的情況,也沒有肌反射增加,下肢肌肉張力正常,膝反射及足根反射正常,Babinski reflex正常,判斷中等程度神經根壓迫,還沒到嚴重脊髓病變,不過為了安心起見,先安排兩週治療,如果都沒有任何進步可以考慮新光醫院進行神外手術,或者疼痛科神經阻斷術
❤️治療:
頸椎微針刀減壓
頸椎肩膀筋膜鬆解
黃韌帶周圍減張術
頭皮針、乾針、針灸、手針
💯治療感受(真實患者影片訪談)
第三次治療後頸椎卡壓感覺大為改善,原本早上起來脖子都有一條筋轉不過去的感覺消失了!目前神經學症狀幾乎完全消失,手麻幾乎消失,彷彿之前的疼痛像一場夢魘
❤️重要交代:這一次症狀大幅度的改善不代表以後完全沒問題,就像你感冒好了以後也可能會感冒,重點是要避免頸椎的壞習慣,更要加強毛巾操的訓練,否則任何治療方法包括手術都會再發作喔!!
✏️後記:
開車要小心,這次因為車禍撞擊頸椎導致椎間盤突出,如果再嚴重一點的撞擊就很有可能發生癱瘓,各位針友開車都要平安小心採取防禦性駕駛
♦️西醫神經外科手術適應症探討
先說結論!嚴重頸椎壓迫特別是中老年人,如果發現四肢已經開始僵硬或行動不良,很像失速列車裡面那種殭屍走路,如果是這種患者,強烈建議給神經外科手術!但至於是否會完全恢復呢?答案是很困難,頸部脊髓MRI如果嚴重壓迫病變,這表示頸脊髓發生不可逆之病變,這類患者症狀當然只有進步而無法完全復原,問題是很多中老年人很長期依賴止痛藥跟推拿,通常這種患者來診都已經很嚴重了,能夠恢復到免強日常生活自理都很不錯了
✅本文案例均已經過當事人同意刊登露出,並經患者同意拍攝照片影片上傳。
✅本文為案例資訊,僅作為推廣針刀醫學療法衛教資訊之介紹分享,治療效果會因個人體質與術後保養而有異。
✅徐國峰醫師提醒您,任何醫療處置均有潛在風險,並非每個人都適合,本文內容僅供參考,實際須由醫師當面與您進行評估及溝通而定。
🔵有相關問題請就近洽骨科、復健科、針刀、針灸醫師,及早發現及早治療
✅徐國峰中醫診所關心您(針刀專字第28號,台灣針刀醫學會創會專科醫師,兩岸雙專科針刀醫師執照。)
☎️諮詢電話:02-8772-5280
(自費預約高品質門診)
👍詳細脊椎整合療法請見粉絲團置頂文章喔
🆘診斷:神經根型頸椎病C5~C6
⭕️評估:患者手臂跟肩膀沒萎縮,肌力目前都正常,握力也沒問題,腳走路還沒問題,也沒有步態不穩的情況,也沒有肌反射增加,下肢肌肉張力正常,膝反射及足根反射正常,Babinski reflex正常,判斷中等程度神經根壓迫,還沒到嚴重脊髓病變,不過為了安心起見,先安排兩週治療,如果都沒有任何進步可以考慮新光醫院進行神外手術,或者疼痛科神經阻斷術
❤️治療:
頸椎微針刀減壓
頸椎肩膀筋膜鬆解
黃韌帶周圍減張術
頭皮針、乾針、針灸、手針
💯治療感受(真實患者影片訪談)
第三次治療後頸椎卡壓感覺大為改善,原本早上起來脖子都有一條筋轉不過去的感覺消失了!目前神經學症狀幾乎完全消失,手麻幾乎消失,彷彿之前的疼痛像一場夢魘
❤️重要交代:這一次症狀大幅度的改善不代表以後完全沒問題,就像你感冒好了以後也可能會感冒,重點是要避免頸椎的壞習慣,更要加強毛巾操的訓練,否則任何治療方法包括手術都會再發作喔!!
✏️後記:
開車要小心,這次因為車禍撞擊頸椎導致椎間盤突出,如果再嚴重一點的撞擊就很有可能發生癱瘓,各位針友開車都要平安小心採取防禦性駕駛
♦️西醫神經外科手術適應症探討
先說結論!嚴重頸椎壓迫特別是中老年人,如果發現四肢已經開始僵硬或行動不良,很像失速列車裡面那種殭屍走路,如果是這種患者,強烈建議給神經外科手術!但至於是否會完全恢復呢?答案是很困難,頸部脊髓MRI如果嚴重壓迫病變,這表示頸脊髓發生不可逆之病變,這類患者症狀當然只有進步而無法完全復原,問題是很多中老年人很長期依賴止痛藥跟推拿,通常這種患者來診都已經很嚴重了,能夠恢復到免強日常生活自理都很不錯了
✅本文案例均已經過當事人同意刊登露出,並經患者同意拍攝照片影片上傳。
✅本文為案例資訊,僅作為推廣針刀醫學療法衛教資訊之介紹分享,治療效果會因個人體質與術後保養而有異。
✅徐國峰醫師提醒您,任何醫療處置均有潛在風險,並非每個人都適合,本文內容僅供參考,實際須由醫師當面與您進行評估及溝通而定。
🔵有相關問題請就近洽骨科、復健科、針刀、針灸醫師,及早發現及早治療
✅徐國峰中醫診所關心您(針刀專字第28號,台灣針刀醫學會創會專科醫師,兩岸雙專科針刀醫師執照。)
☎️諮詢電話:02-8772-5280
(自費預約高品質門診)
👍詳細脊椎整合療法請見粉絲團置頂文章喔


