#抱狗閃到腰居然痛麻到不行快半年 #原來是椎間盤突出啊 #脊椎整合中醫微創逆轉勝
2020.04.03
#抱狗閃到腰居然痛麻到不行快半年
#原來是椎間盤突出啊
#脊椎整合中醫微創逆轉勝
#見證影片情看影片集
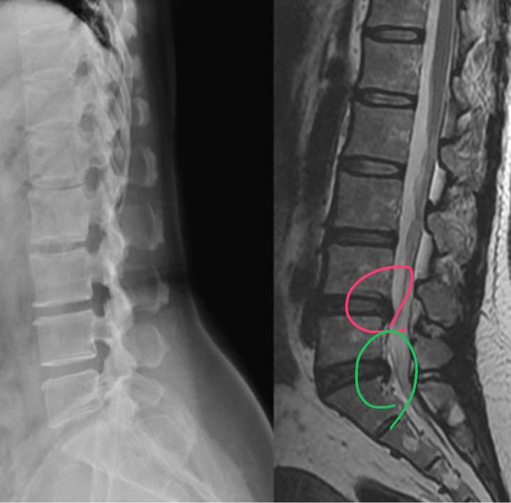
內湖胡小姐抱怨右邊腰痛連小腿快半年以上,當初坐在椅子上彎腰抱十公斤小狗突然閃到腰,原本以為一般閃休息就好,結果情況很快惡化,特別是麻很嚴重,右屁股到右小腿腳底內側然後右大拇指開始麻緊痠,到家中附近中醫針灸7-8次也接受傳統復健診所電療三個月,也到某診所打一次消炎止痛針,整天會麻,甚至走路超過十幾分就開始痛,疼痛指數大約到七分,由於狀況一直不佳才在2019年八月去內湖某醫學中心接受MRI核磁共振檢查,發現有兩節椎間盤突出,骨科醫師建議開刀,患者心生畏懼居然馬上跑走XDD(其實骨科醫師是為了她好),友人介紹來門診評估接受脊椎整合中醫微創療法
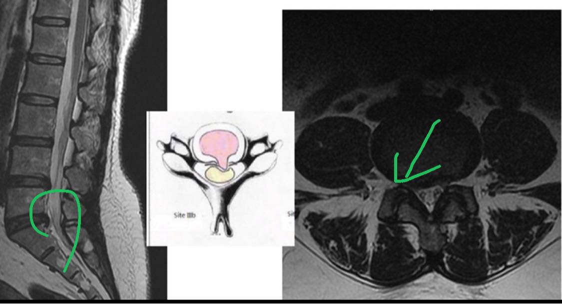
診斷:L4/L5;L5/S1 椎間盤突出
治療:
1.腰椎筋膜鬆動術
2小面關節減張術
3.椎管側隱窩減壓術
4.傳統針灸提高氣血循環
5.腰椎骨盆復位操
醫案結果(節錄受訪影片)
第一次治療後疼痛很明顯下降,腰痛就不見了,(有那們神奇嗎XD),之後傳授麥氏運動跟骨盆復位操,很認真治療跟做復位操,前前後後從2/20~3/27治療八次,症狀完全消失
後話:苦口婆心勸告遠離生活中的很多壞習慣,這次因為抱狗受傷,代表腰椎核心肌群很弱!坐太久或是翹腳看電視的壞習慣也要戒除,這一次大幅度的改善不代表永遠治癒,腰椎骨盆復位操要繼續做,加強核心肌群才是王道,不然就算是西醫骨科手術也都會復發
🆘 什麼情況下需要開刀?
長期保守治療無效者,且經 CT 或MRI檢查明確診斷,或出現大小便失禁,跟肌肉萎縮患者應接受手術治療。
✅本文案例均已經過當事人同意刊登露出,並經患者同意拍攝照片影片上傳。
✅本文為案例資訊,僅作為推廣針刀醫學療法衛教資訊之介紹分享,治療效果會因個人體質與術後保養而有異。
✅徐國峰醫師提醒您,任何醫療處置均有潛在風險,並非每個人都適合,本文內容僅供參考,實際須由醫師當面與您進行評估及溝通而定。
🔵有相關問題請就近洽骨科、復健科、針刀、針灸醫師,及早發現及早治療
✅徐國峰中醫診所關心您(針刀專字第28號,台灣針刀醫學會創會專科醫師,兩岸雙專科針刀醫師執照。)
☎️諮詢電話:02-8772-5280
(自費預約高品質門診)
🌠診所位置:台北市建國南路一段160號十樓之一
🔆有相關問題患者歡迎私訊或者電洽診所諮詢
診斷:L4/L5;L5/S1 椎間盤突出
治療:
1.腰椎筋膜鬆動術
2小面關節減張術
3.椎管側隱窩減壓術
4.傳統針灸提高氣血循環
5.腰椎骨盆復位操
醫案結果(節錄受訪影片)
第一次治療後疼痛很明顯下降,腰痛就不見了,(有那們神奇嗎XD),之後傳授麥氏運動跟骨盆復位操,很認真治療跟做復位操,前前後後從2/20~3/27治療八次,症狀完全消失
後話:苦口婆心勸告遠離生活中的很多壞習慣,這次因為抱狗受傷,代表腰椎核心肌群很弱!坐太久或是翹腳看電視的壞習慣也要戒除,這一次大幅度的改善不代表永遠治癒,腰椎骨盆復位操要繼續做,加強核心肌群才是王道,不然就算是西醫骨科手術也都會復發
🆘 什麼情況下需要開刀?
長期保守治療無效者,且經 CT 或MRI檢查明確診斷,或出現大小便失禁,跟肌肉萎縮患者應接受手術治療。
✅本文案例均已經過當事人同意刊登露出,並經患者同意拍攝照片影片上傳。
✅本文為案例資訊,僅作為推廣針刀醫學療法衛教資訊之介紹分享,治療效果會因個人體質與術後保養而有異。
✅徐國峰醫師提醒您,任何醫療處置均有潛在風險,並非每個人都適合,本文內容僅供參考,實際須由醫師當面與您進行評估及溝通而定。
🔵有相關問題請就近洽骨科、復健科、針刀、針灸醫師,及早發現及早治療
✅徐國峰中醫診所關心您(針刀專字第28號,台灣針刀醫學會創會專科醫師,兩岸雙專科針刀醫師執照。)
☎️諮詢電話:02-8772-5280
(自費預約高品質門診)
🌠診所位置:台北市建國南路一段160號十樓之一
🔆有相關問題患者歡迎私訊或者電洽診所諮詢


