#感謝中和呂小姐熱情見證 #膝關節疼痛超過十年 #看遍名醫打過五次PRP仍然沒效 #髕下脂肪墊受傷
2020.03.19
#感謝中和呂小姐熱情見證
#膝關節疼痛超過十年
#看遍名醫打過五次PRP仍然沒效
#髕下脂肪墊受傷
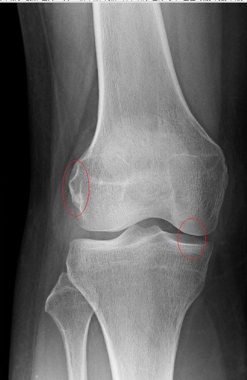
很難想像年輕的呂小姐膝蓋持續疼痛超過十年,當初座車大約二十分鐘後突然膝蓋刺痛,完全站不起來,開始慢性疼痛,幾個月後開始連上廁所也完全蹲不下去,上述症狀持續快一年,激烈運動或走路超過一個小時就會痛,久坐也會誘發疼痛,在台北某診所打過五次PRP效果也不好,觸診發現內側皺壁壓痛明顯,髕下脂肪墊壓痛,懷疑退化性關節炎第二期,原本要去嘉義大林找權威醫師開刀,但呂小姐的媽媽曾經動過該知名手術,術後疼痛復原時間長達半年以上,以她上班族的病假無法負荷,而且需要半年都拿拐杖也不是辦法.這次經友人介紹來接受膝關節整合中醫微創療法
診斷:退化性關節炎第二期
髕下脂肪墊受傷
內測皺壁摩擦綜合症候群
治療:108/10/2~109/3/18 總共十次,五個月的治療
結果:前面兩個月療效不穩定,到今年一月效果明顯大增,囑咐呂小姐做之前會痛的動作或運動,今年二月回診她非常驚奇且開心的說完全不痛,才把所有治療重心放在髕下脂肪墊,最後一次做筋膜的小保養
後續感言:長達這十年的夢魘,很難想像患者每天早上會劇痛一段時間,生活工作長期處於膝蓋疼痛壓力,幾乎找了所有骨科醫師,說法不一,有的說要開刀,有的說打PRP,有的說吃止痛藥一個月就沒事了,最後第八次的治療跟第十次隔了快兩個多月,讓呂小姐觀察之前所有的疼痛,真的完全不痛!!
🌈🌈什麼樣的病適合超微針刀療法
✅對於早期與中期膝關節骨關節炎膝關節的疼痛、酸軟無力、關節積液等,針刀醫學療法可有效改善
🌈🌈哪些患者效果可能不好呢?
✅第四期的患者,關節軟骨耗損嚴重,從X光清楚看到完全沒空隙且關節嚴重變形,還是建議找骨科醫師開刀為主
✅本文案例均已經過當事人同意刊登露出,並經患者同意拍攝照片影片上傳。
✅本文為案例資訊,僅作為推廣針刀醫學療法衛教資訊之介紹分享,治療效果會因個人體質與術後保養而有異。
✅徐國峰醫師提醒您,任何醫療處置均有潛在風險,並非每個人都適合,本文內容僅供參考,實際須由醫師當面與您進行評估及溝通而定。
🔵有相關問題請就近洽骨科、復健科、針刀、針灸醫師,及早發現及早治療
✅徐國峰中醫診所關心您(針刀專字第28號,台灣針刀醫學會創會專科醫師,兩岸雙專科針刀醫師執照。)
診斷:退化性關節炎第二期
髕下脂肪墊受傷
內測皺壁摩擦綜合症候群
治療:108/10/2~109/3/18 總共十次,五個月的治療
結果:前面兩個月療效不穩定,到今年一月效果明顯大增,囑咐呂小姐做之前會痛的動作或運動,今年二月回診她非常驚奇且開心的說完全不痛,才把所有治療重心放在髕下脂肪墊,最後一次做筋膜的小保養
後續感言:長達這十年的夢魘,很難想像患者每天早上會劇痛一段時間,生活工作長期處於膝蓋疼痛壓力,幾乎找了所有骨科醫師,說法不一,有的說要開刀,有的說打PRP,有的說吃止痛藥一個月就沒事了,最後第八次的治療跟第十次隔了快兩個多月,讓呂小姐觀察之前所有的疼痛,真的完全不痛!!
🌈🌈什麼樣的病適合超微針刀療法
✅對於早期與中期膝關節骨關節炎膝關節的疼痛、酸軟無力、關節積液等,針刀醫學療法可有效改善
🌈🌈哪些患者效果可能不好呢?
✅第四期的患者,關節軟骨耗損嚴重,從X光清楚看到完全沒空隙且關節嚴重變形,還是建議找骨科醫師開刀為主
✅本文案例均已經過當事人同意刊登露出,並經患者同意拍攝照片影片上傳。
✅本文為案例資訊,僅作為推廣針刀醫學療法衛教資訊之介紹分享,治療效果會因個人體質與術後保養而有異。
✅徐國峰醫師提醒您,任何醫療處置均有潛在風險,並非每個人都適合,本文內容僅供參考,實際須由醫師當面與您進行評估及溝通而定。
🔵有相關問題請就近洽骨科、復健科、針刀、針灸醫師,及早發現及早治療
✅徐國峰中醫診所關心您(針刀專字第28號,台灣針刀醫學會創會專科醫師,兩岸雙專科針刀醫師執照。)

