#感謝雲林李阿姨熱情見證 #腰椎滑脫合併椎管狹窄 #脊椎整合中醫微創療法逆轉勝
2020.03.01
#感謝雲林李阿姨熱情見證
#腰椎滑脫合併椎管狹窄
#脊椎整合中醫微創療法逆轉勝
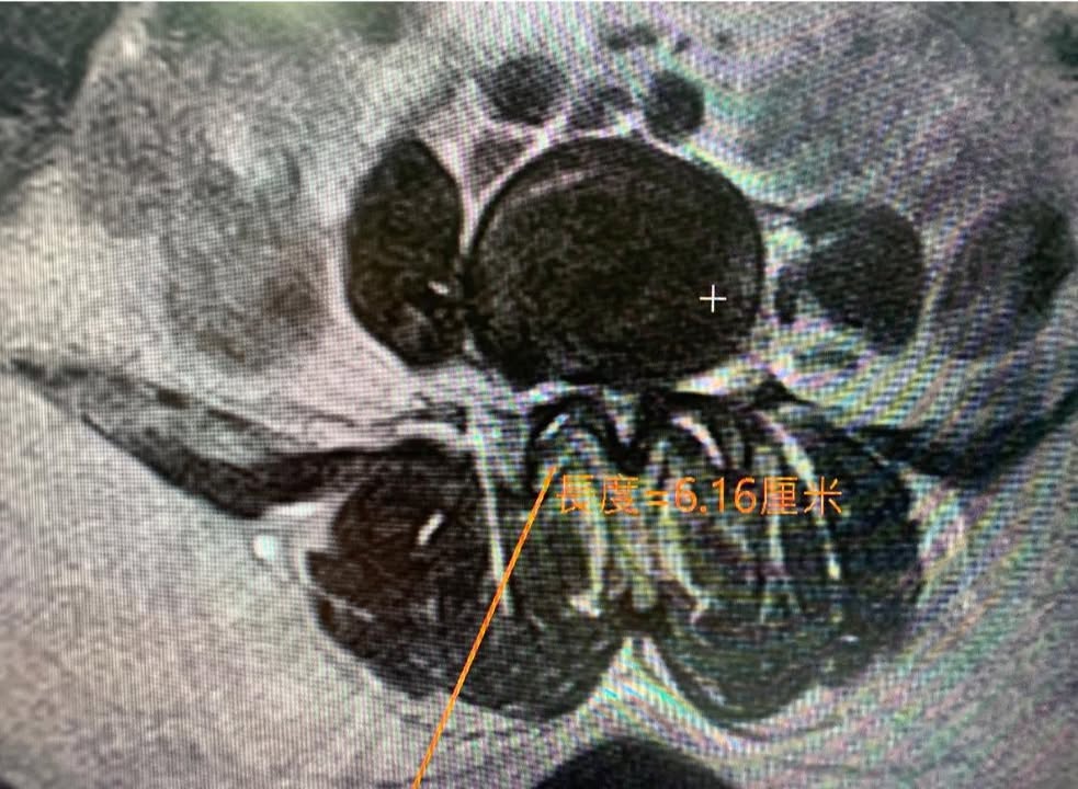
七十歲的李阿姨說雲林北港的蒜農,再來診之前已經大痛快三個月,腳非常的麻痛,上下樓梯也非常痛,走路最嚴重的時候沒有辦法走超過10分鐘,先去當地的復健科診所拍攝片子,就發現腰椎有滑脫的現象,做了一陣子的復健效果仍然不如預期,才去當地的大醫院拍攝核磁共振,更發現椎管狹窄,壓迫雙側神經跟根,因為復健的效果不理想所以神經外科醫生建議開刀治療,女兒介紹特別從雲林北上就醫
評估:大拇指墊腳尖仍然有力量,也沒有出現大小便失禁的問題,雙側大腿跟小腿也沒有萎縮,先建議李阿姨接受兩週的治療如果有改善就繼續做,如果沒特別改善這神經外科開刀可能為首選,雖然老人家很不想動刀但是有些刀必須得處理
診斷:L4 on L5第一度滑脫
L5S1椎間孔第二度狹窄
治療:
1.腰椎筋膜鬆動術
2.黃韌帶鬆解術
3.小面關節減張術
4.椎管側隱窩減壓術
5.傳統針灸提高氣血循環
6.三合一腰椎骨盆復位操
結果:前面的兩週治療就改善快一半,李阿姨非常開心,就有信心地把這個療程做完,今年的1月8號到最後一次治療2月25號,扣掉中間過年不算,共治療八次,效果非常滿意,詳細的訪談紀錄在影片集,我們團隊非常真心的替阿姨感到開心
🆘 什麼情況下需要開刀?
長期保守治療無效者,且經 CT 或MRI檢查明確診斷,或出現大小便失禁,跟肌肉萎縮患者應接受手術治療。
✅本文案例均已經過當事人同意刊登露出,並經患者同意拍攝照片影片上傳。
✅本文為案例資訊,僅作為推廣針刀醫學療法衛教資訊之介紹分享,治療效果會因個人體質與術後保養而有異。
✅徐國峰醫師提醒您,任何醫療處置均有潛在風險,並非每個人都適合,本文內容僅供參考,實際須由醫師當面與您進行評估及溝通而定。
🔵有相關問題請就近洽骨科、復健科、針刀、針灸醫師,及早發現及早治療
✅徐國峰中醫診所關心您(針刀專字第28號,台灣針刀醫學會創會專科醫師,兩岸雙專科針刀醫師執照。)
評估:大拇指墊腳尖仍然有力量,也沒有出現大小便失禁的問題,雙側大腿跟小腿也沒有萎縮,先建議李阿姨接受兩週的治療如果有改善就繼續做,如果沒特別改善這神經外科開刀可能為首選,雖然老人家很不想動刀但是有些刀必須得處理
診斷:L4 on L5第一度滑脫
L5S1椎間孔第二度狹窄
治療:
1.腰椎筋膜鬆動術
2.黃韌帶鬆解術
3.小面關節減張術
4.椎管側隱窩減壓術
5.傳統針灸提高氣血循環
6.三合一腰椎骨盆復位操
結果:前面的兩週治療就改善快一半,李阿姨非常開心,就有信心地把這個療程做完,今年的1月8號到最後一次治療2月25號,扣掉中間過年不算,共治療八次,效果非常滿意,詳細的訪談紀錄在影片集,我們團隊非常真心的替阿姨感到開心
🆘 什麼情況下需要開刀?
長期保守治療無效者,且經 CT 或MRI檢查明確診斷,或出現大小便失禁,跟肌肉萎縮患者應接受手術治療。
✅本文案例均已經過當事人同意刊登露出,並經患者同意拍攝照片影片上傳。
✅本文為案例資訊,僅作為推廣針刀醫學療法衛教資訊之介紹分享,治療效果會因個人體質與術後保養而有異。
✅徐國峰醫師提醒您,任何醫療處置均有潛在風險,並非每個人都適合,本文內容僅供參考,實際須由醫師當面與您進行評估及溝通而定。
🔵有相關問題請就近洽骨科、復健科、針刀、針灸醫師,及早發現及早治療
✅徐國峰中醫診所關心您(針刀專字第28號,台灣針刀醫學會創會專科醫師,兩岸雙專科針刀醫師執照。)


